وفاة 7 أشخاص ببلدية تناها وإغلاق الأسواق الأسبوعية بسبب "الدفتيريا"

بواسطة mohamed

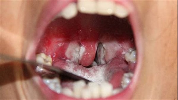
أفادت مصادر محلية ان سبعة  أشخاص توفوا ببلدية تناها بمقاطعة كنكوصة في ولاية العصابة، وذلك جراء إصابتهم بمرض يرجح أنه الدفتيريا، فيما أصيب أكثر من 70 آخرين.

كما أكدت المصادر عدم تسجيل حالات جديدة في يومي الجمعة والسبت، مشيرا إلى أن من أخذوا الدواء تماثلوا للشفاء.